(905) 417-8700

Before/After Cosmetic Dentistry Gallery

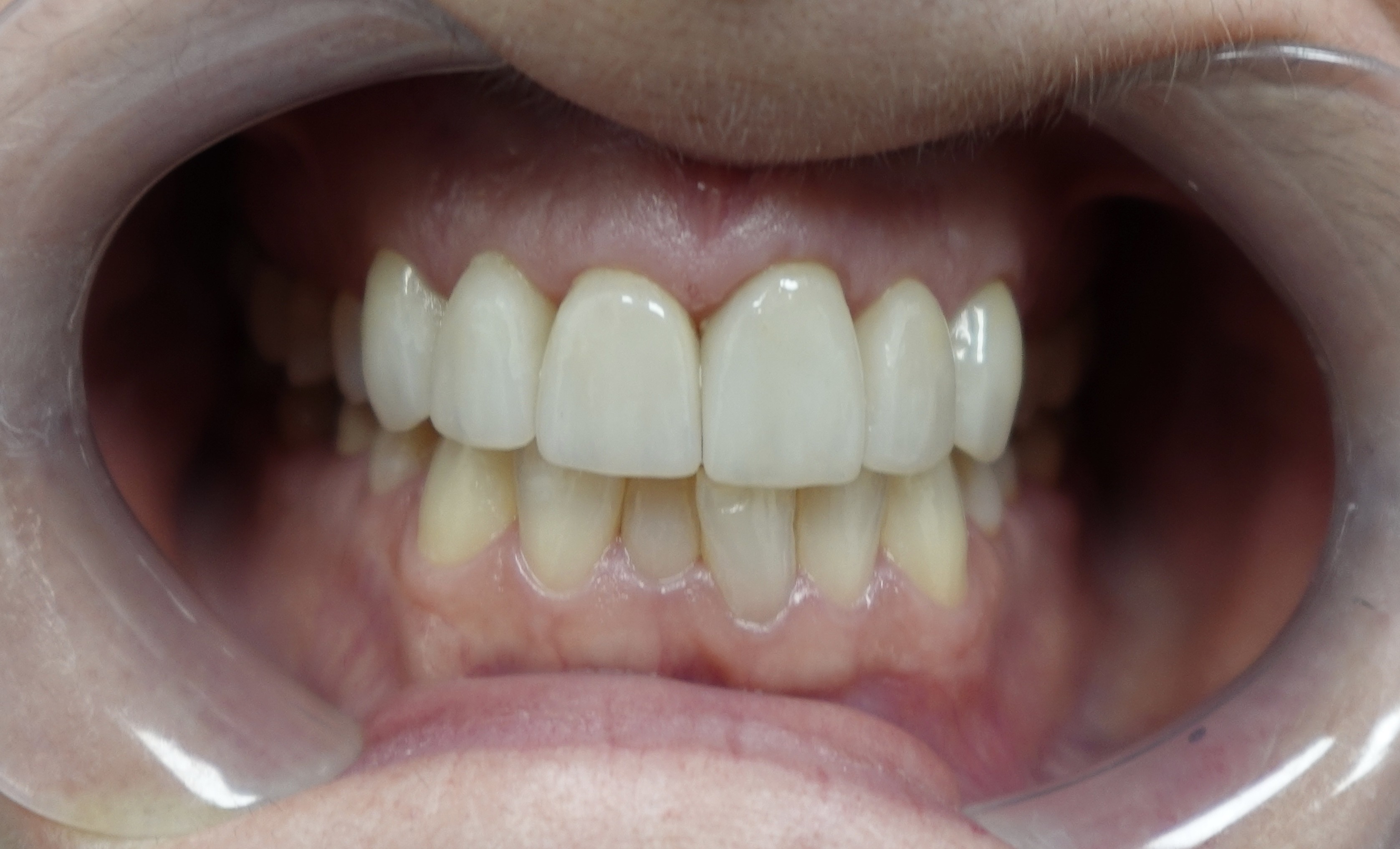
The crowns enhanced his appearance and, in return, the patient gained confidence in his smile.

Thoroughly impressed from top to bottom. Beautiful facility, state of the art equipment, phenomenal dentist Dr. Lloyd Pedvis is indeed!! Beyond knowledgeable and best of all is his calming influence. He has such a down to earth approach, I just find it reassuring and just don't have the anxiety that I've had with past dental work. Just moved in Vaughan and thrilled with our families new dentist and dental clinic!

Josh Katz

Dr. Pedvis and his staff are absolutely wonderful! My family and I are so happy that we have found him. He is absolutely amazing with young children. Both my kids needed work done and he was very gentle and patient. Both of them left his office happy and with great smiles! We are very happy we switched to Dr. Pedvis in Woodbridge.

Holly D.

Our Family has gone to Dr. Pedvis for over 25 years in his previous location. You are all so lucky to have him and his team to look after you in Vaughan now. I am a very complicated dental patient due to healthcare issues… I knew I was always safe with Dr. Pedvis!  I will miss your great stories, and trying not to laugh, as you work on my dental issues. Most people do not get to laugh at "The Dentist". Your new office in Woodbridge looks awesome! 

Dorothy McMahon

I have been a patient of Dr. Pedvis for 13 yrs now. He is the greatest dentist I've ever had. He's extremely gentle, listens to your concerns and is compassionate. I once emailed the woodbridge dental office with a severe toothache when it was closed. Shortly after Dr. Pedvis contacted me with my concerns, he called in a prescription for me to get me out of pain. He then took me first thing in the morning and did a root canal. I highly recommend this dental office to anybody looking for a caring dentist. Also the staff is fantastic and they truly care about you as a person.

Kimberly Oppermann

I have seen many dentists prior to Dr. Pedvis, so I believe I have ample reference points to say that Dr. Pedvis is at the top of his field. He keeps up to date with developments in the field, invests in the latest equipment for his office and is able to handle a wide variety of procedures, from simple to complex. He also maintains an equally top level network of professionals to add to his service capabilities if needed.

Christopher Omiecinski

I am pleased to share my experience I had at the office of Dr. Lloyd Pedvis. From the moment I stepped into the office, I was made to feel welcome and comfortable, by the friendly competent staff. I found the office environment very pleasant. Dr. Pedvis is an excellent dentist. He takes the time to explain every procedure, and is attentive that I was comfortable at all times.

Melissa Lombardo

Me and my family have been going to Dr. Pedvis's dental practice since 1995. He always performs excellent services, and is often available to handle emergencies. First class staff, as well. Their new location in Vaughan is stunning! Highly recommended.

Cameron A. M. Muir

Dr. Pedvis was so amazing! I can't say enough good things about him. Not only did he get me in quickly for a root canal (replying on a Sunday to my plea for help!). He was so great about addressing my pain and understanding my irrational fear. His follow up after the root canal was absolutely amazing! I was shocked at his follow through and care for his patients even after the procedure. I would recommend him to anyone in need of dental work.

Nancy B.

What Our Clients Are Saying

Read our Google Reviews

Our Location

Proudly serving:
Woodbridge, Vaughan

Address

3450 Major Mackenzie Drive West #5 Woodbridge, Ontario L4H 4J5

Get Directions